Silent Damage: What You Need to Know About Dental Trauma with No Visible Symptoms

Dr. Hussam Al Nasrallah

When most people think of dental trauma, they picture a broken tooth, bleeding gums, or immediate pain. But not all dental injuries are loud or obvious. Sometimes, a tooth can sustain a blow or impact without chipping, cracking, or causing pain—yet still suffer significant internal damage. This type of “silent dental trauma” is more common than many realize, and it can have serious long-term consequences if left untreated.
What Happens When a Tooth Takes a Hit?
Even if your tooth looks perfectly fine after a fall, sports injury, or accident, the internal structures—especially the pulp (the living tissue inside the tooth)—can still be damaged. The trauma can:
- Disrupt blood supply to the pulp
- Cause internal bleeding
- Trigger inflammation or infection over time This damage isn’t always immediately visible, which is why knowing what signs to look for is crucial.
Common Signs of Hidden Dental Trauma
Here are some delayed or subtle symptoms that may indicate the need for dental attention—even if there’s no pain:
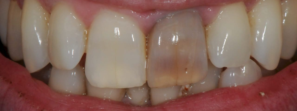
- Tooth Discoloration
- One of the earliest and most noticeable signs.
- The tooth may turn gray, yellow, or dark brown over time.
- This often indicates that the pulp has died or is dying, which may require root canal treatment.
- Prolonged Sensitivity
- If a tooth becomes sensitive to hot, cold, or pressure well after the trauma, it may be a sign that the nerve is inflamed or dying.
- Gum Changes
- Swelling or a small pimple-like bump (called a fistula) on the gums near the affected tooth may indicate an infection.
- You might also notice a bad taste in your mouth or drainage of pus.
- Tooth Mobility
- A tooth that feels slightly loose or shifts position after trauma may indicate damage to the supporting ligament or surrounding bone.
- No Response to Stimuli
- A tooth that no longer reacts to cold or electric vitality tests may have lost its nerve vitality, indicating possible pulp necrosis.
Why Might a Root Canal Be Needed?
If the pulp tissue inside a tooth becomes necrotic (dies) or infected, root canal treatment is usually necessary to:
- Remove the dead or infected tissue
- Clean and disinfect the root canals
- Seal the tooth to prevent further infection Even without noticeable symptoms, a tooth with pulp necrosis can silently develop chronic infections or cysts at the root tip, potentially damaging the surrounding bone.
What Should You Do After Any Dental Trauma?
Even if your tooth looks fine and doesn’t hurt, you should always see a dentist after a blow to the mouth. Here’s what to do:
- Schedule a dental exam and X-ray.
- This can reveal internal damage, root fractures, or signs of inflammation.
- Monitor the tooth over time.
- Some complications can take months—or even years—to develop.
- Take photos.
- A baseline photo of the tooth’s color can help track subtle changes over time.
Final Thoughts: Don’t Let a Quiet Tooth Fool You
Just because a tooth doesn’t break or hurt immediately doesn’t mean it escaped trauma. Changes in color, sensitivity, and gum swelling are important red flags that shouldn’t be ignored. Prompt evaluation—and early intervention when needed, such as a root canal—can prevent serious complications down the line, including bone loss, abscesses, or tooth extraction.
If you’ve experienced a blow to the mouth, it’s always better to be cautious. A silent tooth today could become a painful problem tomorrow.