ICON Treatment for White Spot Lesions: A Minimally Invasive Solution

Dr. Yasin Al-Safadi

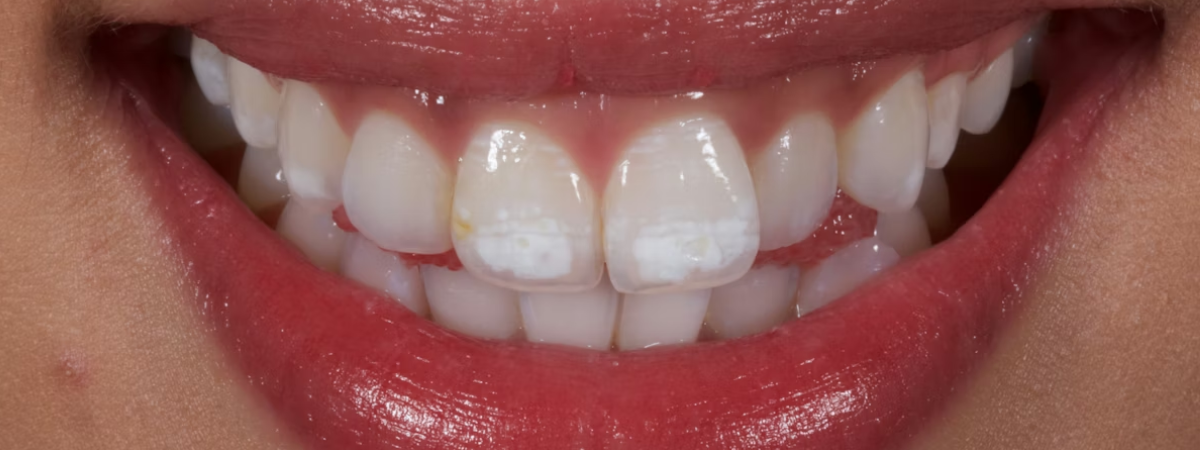
What Are White Spot Lesions?
White spots on teeth are early signs of enamel damage, often caused by:
- Fluorosis (excessive fluoride during tooth development)
- Orthodontic treatment (braces making cleaning difficult)
- Demineralization due to poor oral hygiene or diet These spots can make teeth look uneven and affect your smile’s confidence, even if your teeth are otherwise healthy.
What Is ICON Treatment?
ICON (Infiltration Concept) is a minimally invasive treatment designed to remove or blend white spots without drilling or injections. It works by:
- Preparing the surface of the tooth.
- Applying a special resin material that penetrates the porous white spot.
- Sealing the lesion and making the enamel look smooth and uniform in color.
Benefits of ICON:
- No drilling, no pain
- Preserves natural tooth structure
- Fast results in a single visit
- Improves aesthetics instantly
- Delays or avoids more invasive treatments
Who Is a Good Candidate?
- Patients with white spots after braces
- People who don’t want drilling or enamel removal
- Patients looking for quick cosmetic improvement
How Long Do Results Last?
ICON is long-lasting, but like any dental treatment, it depends on oral hygiene and lifestyle. With proper care, results can last several years, and touch-ups are rarely needed.
ICON vs Other Options
Whitening: May lighten the whole tooth but doesn’t remove white spots.
Veneers or bonding: Effective but involve enamel removal and higher cost.
ICON: A safe, conservative option before considering more invasive treatments.
Final Word
ICON is an excellent option for patients who want to get rid of white spots without drilling or discomfort. It restores not only the enamel but also confidence in your smile.